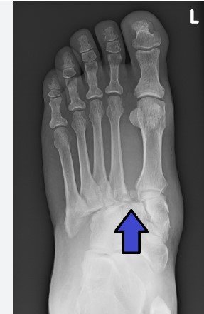
Broken Bone
Home
Fracture guide
Implant selection
Contact
Foot & Ankle
Upper Limb
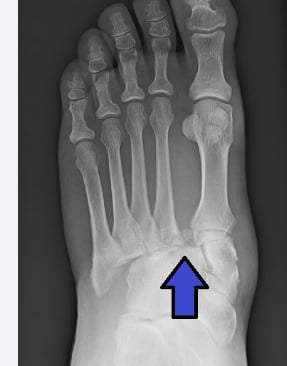
Broken Bone
Home
Fracture guide
Implant selection
Contact
Foot & Ankle
Upper Limb
click on fracture
Provide a short description of the gallery, highlighting key things.